ABOUT
アウトカム
シミュレーションとは?
シミュレーションとは?
アウトカムシミュレーションでは、矯正治療後の歯並びを、治療前に確認することができます。
「歯並びが整ったら、こんな感じになるんだ」というイメージを持つことで、矯正治療を実感しやすくなります。
アウトカムシミュレーションは、スキャンデータをもとに、治療後の歯並びの完成イメージを簡易的に可視化し、治療結果を確認するための参考として行うものです。
※アウトカムシミュレーションをご覧いただいたうえで、矯正治療を行うかどうかをご判断いただくことも可能です。
※アウトカムシミュレーションは、治療後の歯並びを簡易的に示した参考イメージであり、実際の治療結果を保証するものではありません。
SIMULATION
シミュレーションと実際
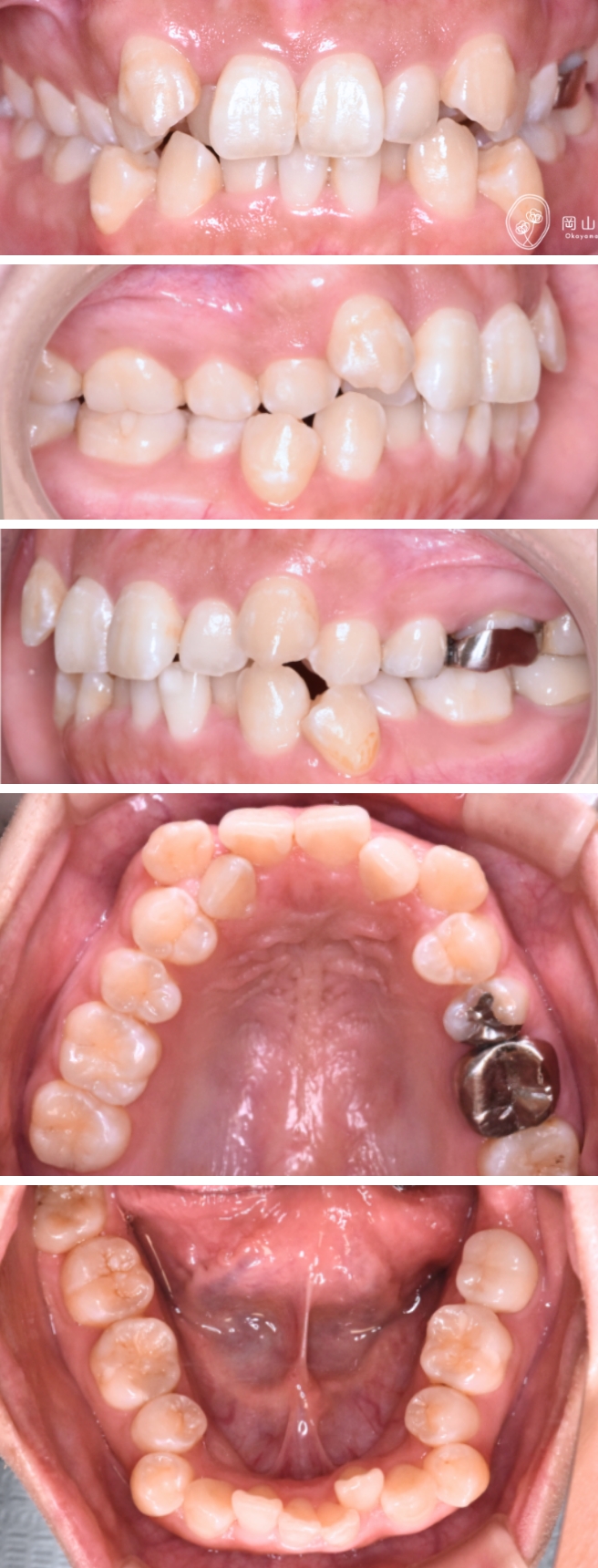
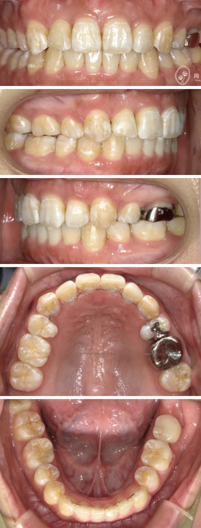
BEFORE
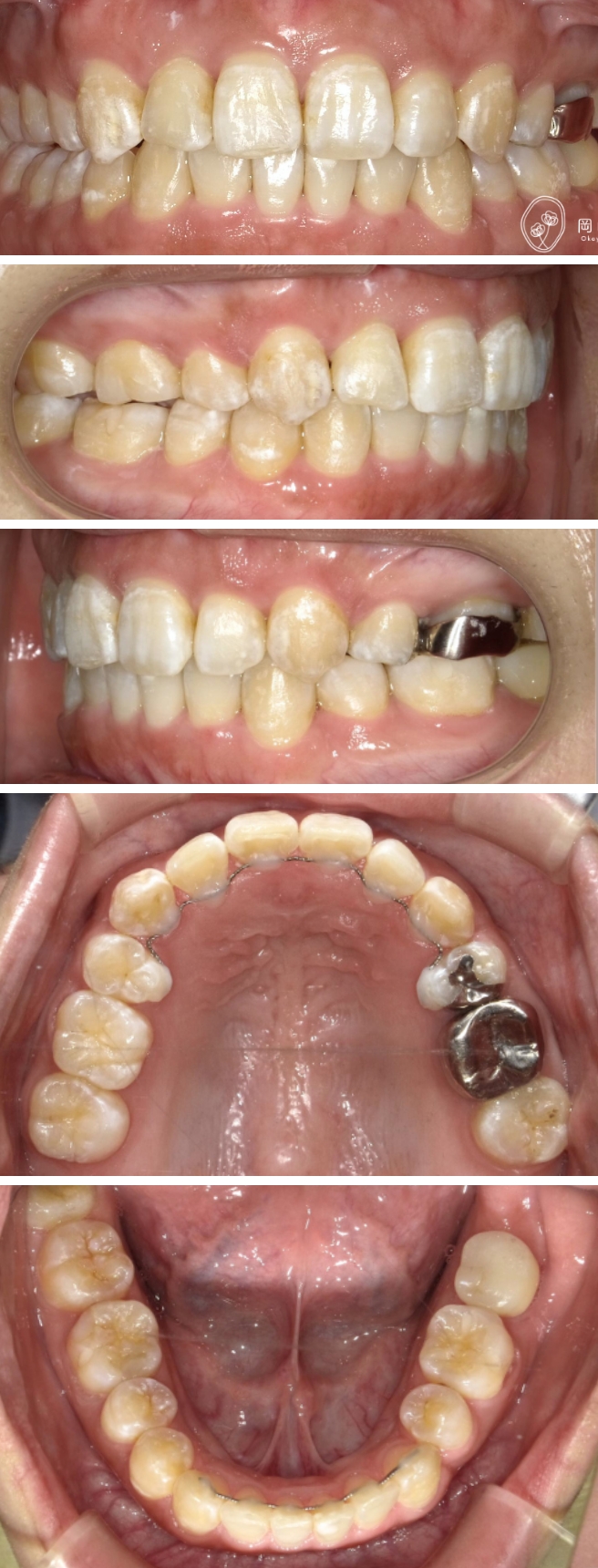
実際の歯並び

スキャンした歯並び

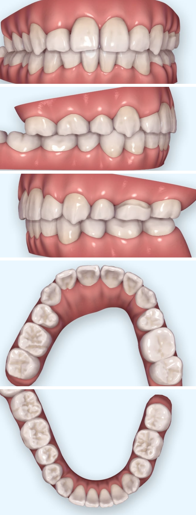
シミュレーションした
治療後の歯並び
治療後の歯並び

AFTER
治療後の歯並び

FLOW
アウトカム
シミュレーションの流れ
シミュレーションの流れ
1
口腔内スキャン
アウトカムシミュレーションを行うために、口腔内スキャナーで歯並びをスキャンします。
従来の型取りは行いません。
従来の型取りは行いません。

2
シミュレーションの
表示
表示
スキャンデータをもとに、治療後の歯並びの完成イメージを簡易的に可視化します。

3
シミュレーションの
確認
確認
表示されたイメージを見ながら、治療後の歯並びの方向性を確認します。

OPTION
アウトカムシミュレーションは
初回カウンセリングのオプションです
初回カウンセリングのオプションです
初回カウンセリングは、無料で行っています。アウトカムシミュレーションは、この無料初回カウンセリングに追加できるオプションです。
- 治療後の歯並びのイメージを見てみたい方
- 具体的な完成イメージを確認したい方
にご案内しています。
| アウトカムシミュレーション費用 | 2,000円(税別) |
|---|
シミュレーションをご覧いただいたうえで、矯正治療を行うかどうかをご判断いただけます。
FAQ
よくある質問
-
Qアウトカムシミュレーションを見たら、必ず治療をしなければいけませんか?Aいいえ。
アウトカムシミュレーションをご覧いただいたうえで、治療を行うかどうかをご判断いただけます。無理に治療をおすすめすることはありません。 -
Qシミュレーション通りに歯並びは治りますか?Aアウトカムシミュレーションは、治療後の歯並びを簡易的に示した参考イメージです。
治療結果を保証するものではありません。 -
Qスキャンは痛くありませんか?A口腔内スキャナーを使用するため、従来の型取りのような強い不快感はほとんどありません。

