ABOUT
アライナー矯正
(マウスピース型矯正装置)とは?
(マウスピース型矯正装置)とは?

取り外しが可能である透明なマウスピースを用いて行う矯正治療の方法です。
そのマウスピースは、お口の中の歯などのデータをデジタル技術で取り込み、コンピューター上で歯の移動量を細かく計算して治療計画を作成し、その計画に合わせて作成していきます。
この作成過程の中で治療計画作成が最も重要であり、ワイヤーを含む矯正治療の知識が無ければ患者さんの歯並びが治る治療計画、マウスピースを作成することができません。
このため、アライナー矯正は矯正歯科医による治療を受けるのが安心です。医院で新しいマウスピースの適合を確認してもらいながら治療を進めるために、数か月に一度の定期的な通院が必要です(ワイヤー矯正と比較して来院は頻繫ではありません)
MERIT / DEMERIT
アライナー矯正
(マウスピース型矯正装置)の
メリット・デメリット
(マウスピース型矯正装置)の
メリット・デメリット
透明なマウスピース型の装置であるため、装置が目立ちにくいというメリットがあります。
裏側矯正と異なり歯の裏側にも金属の装置は無いため、大きくお口を開けても金属は見えませんし、金属アレルギーの方にも安心です(部分的に金属の装置を使うことはありますので、金属アレルギーが心配な方はご相談ください)
装置を装着して慣れるまでは、違和感やしゃべりにくさがありますが、一般的にはすぐに慣れます。
取り外しができるため、患者さんが歯科医師の指示を守ってご自身で装着しないと歯の動き、治療が計画通りに進みません。

DURATION
アライナー矯正
(マウスピース型矯正装置)の期間
(マウスピース型矯正装置)の期間
治療期間は個々の状況によって異なりますが一般的には数年単位でかかり、治療期間は平均で約1年半から3年半、通院回数は約8回から15回です(通院回数が少ないこともメリットです)
*あくまでも目安であり、個々の状況によって前後します。
*1年以内に進学や就職などで転居のご予定がある場合は、転居先で矯正相談を受けられることをおすすめします。矯正治療の転院自体は珍しいことではありませんが、ドクターによって治療方針や方法が異なることがあります。そのため、転居後に新しいクリニックで初めから治療を始めた方が安心です。
CASE
アライナー矯正
(マウスピース型矯正装置)の症例
(マウスピース型矯正装置)の症例
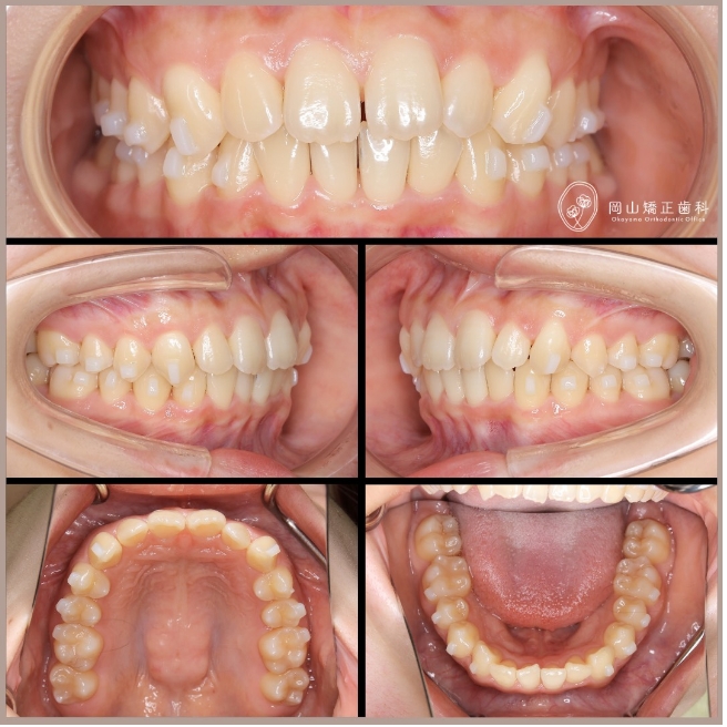
症例01
症例詳細
| 年齢 | 35歳 |
|---|---|
| 住所 | 広島県福山市 |
| 主訴 | 八重歯が気になる |
| 診断名 | 偏位を伴う叢生症例 |
| 治療装置 | マウスピース型矯正装置(インビザライン) |
| 抜歯部位 | 上顎両側第1小臼歯、下顎左側第1小臼歯 |
| 治療期間 | 1年6ヶ月 |
| 費用 | 約85万円 |
| リスク | 痛み、歯肉退縮、歯根吸収など |
※矯正歯科治療は公的健康保険の適用外となります
症例の特徴

治療の過程






ビフォーアフター


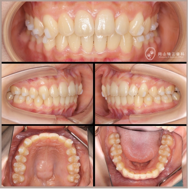
症例02
症例詳細
| 年齢 | 18歳 |
|---|---|
| 住所 | 岡山県岡山市(北区) |
| 主訴 | 出っ歯が気になる |
| 診断名 | 開咬を伴う上下顎前突症例 |
| 治療装置 | マウスピース型矯正装置(インビザライン) |
| 抜歯部位 | 上下顎両側第1小臼歯 |
| 治療期間 | 1年11ヶ月 |
| 費用 | 約85万円 |
| リスク | 痛み、歯肉退縮、歯根吸収など |
※矯正歯科治療は公的健康保険の適用外の自費診療となります
症例の特徴

治療の過程






ビフォーアフター



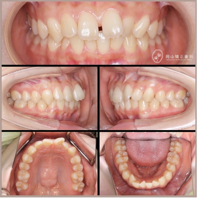
症例03
症例詳細
| 年齢 | 19歳 |
|---|---|
| 住所 | 岡山県瀬戸内市 |
| 主訴 | 隙間とガタガタが気になる |
| 診断名 | 空隙歯列症例 |
| 治療装置 | マウスピース型矯正装置(インビザライン) |
| 抜歯部位 | 非抜歯 |
| 治療期間 | 10ヶ月 |
| 費用 | 約85万円 |
| リスク | 痛み、歯肉退縮、歯根吸収など |
※矯正歯科治療は公的健康保険の適用外の自費診療となります
症例の特徴

治療の過程




ビフォーアフター



MERIT / DEMERIT
抜歯を伴うアライナー矯正
(マウスピース型装置による矯正)
(マウスピース型装置による矯正)
「マウスピース矯正装置では難しいですね」と言われ、アライナー矯正を諦めかけている方は、一度当院までご相談ください。本当にマウスピース型装置では歯並びを整えることができないのか、診断のうえで判断いたします。
アライナー矯正には、①非抜歯(歯を抜かない矯正)と②抜歯を伴う矯正があります。抜歯を伴うアライナー矯正は、高い技術と経験が求められる治療です。
そのため、①非抜歯アライナー矯正 < ②抜歯アライナー矯正(難易度)と考えられています。
当院では、抜歯を伴うアライナー矯正にも対応しております。
PRICE
アライナー矯正
(マウスピース型矯正装置)の費用
(マウスピース型矯正装置)の費用
| アライナー矯正(マウスピース型矯正装置) | 825,000円(税込) |
|---|
FAQ
よくある質問
-
Q低価格(治療費が10~30万円くらいのマウスピース型矯正装置)はなぜ安いのですか?A
低価格のマウスピース型矯正装置は、主に前歯など一部の歯並びのみを整える「部分矯正」として行われていることが多いため、費用が抑えられています。
しかし歯科矯正学では、見た目の美しさだけでなく、機能的な美しさも考慮しながら、噛み合わせ全体のバランスを整える治療がゴールであり、大切なポイントです。
素人目にはきれいに見える治療結果でも、専門家が歯科矯正学的な観点から評価すると、十分な矯正治療になっていない場合もあります。
例えば、
・犬歯関係や大臼歯関係(1級関係)が整っていない
・オーバージェットやオーバーバイトが適切でない
・臼歯部開咬(奥歯が咬み合っていない状態)
といった状態です。その結果、
・噛み合わせが不安定になる
・奥歯の噛み合わせが合わなくなる
・将来的に歯や顎に負担がかかる
といった問題が生じる可能性があります。最悪の場合、再矯正が必要になることもあります。

-
Qマウスピース型矯正装置では治らないということをSNSで目にしますが本当ですか?A
マウスピース型矯正装置で治療できるかどうかは、歯並びの状態だけで決まるものではなく、術者の経験に大きく左右されます。
マウスピース型矯正装置による治療では、①マウスピース型矯正装置の経験だけでなく、②ワイヤー矯正の経験も重要です。
アライナー矯正(マウスピース型矯正装置の矯正)は、ワイヤー矯正とは歯の動かし方のメカニズムが異なるため、①と②の両方のメカニズムを理解していることが必要になります。
さらに、治療の過程で計画通りに歯が動かない場合には、ワイヤー矯正でリカバリーできることも重要です。
そのため、マウスピース型矯正装置による治療では、マウスピース矯正の経験だけでなく、ワイヤー矯正を含めた総合的な矯正治療の経験が重要になります。
-
Qマウスピース矯正でも抜歯治療はできますか?A
はい、マウスピース型矯正装置でも抜歯を伴う矯正治療は可能です。
ただし、抜歯を伴う矯正では歯を大きく動かす必要があり、歯の動きを精密にコントロールする高度な治療設計が求められます。
そのため、すべての症例でマウスピース矯正が適しているわけではありませんが、症例によってはマウスピース型装置で対応できる場合もあります。
当院では、歯並びや噛み合わせを詳しく診断したうえで、マウスピース矯正で対応できるかどうかを判断しています。
CAUTION
マウスピース型矯正装置
(インビザライン/エンジェルアライナー)
薬機法未承認医薬品
(インビザライン/エンジェルアライナー)
薬機法未承認医薬品
- ①未承認医薬品等であること
マウスピース型矯正装置(インビザライン/エンジェルアライナー)は医薬品医療機器等法(薬機法)の承認を受けていない未承認医薬品です。 - ②入手経路
マウスピース型矯正装置(インビザライン)は米国アラインテクノロジー社の製品であり、インビザライン・ジャパン株式会社を介して入手しています。
マウスピース型矯正装置(エンジェルアライナー)は中国のAngelalign Technology Inc.の製品であり、日本国内では正規導入クリニックを通じて入手・治療を行っています。 - ③国内の承認医薬品等の有無
国内にもマウスピース型矯正装置として医薬品医療機器等法(薬機法)の承認を受けているものは複数存在します。 - ④諸外国における安全性に係る情報
マウスピース型矯正装置(インビザライン)は1997年にFDA(米国食品医薬品局)により医療機器として認証を受けています。
マウスピース型矯正装置(エンジェルアライナー)は、中国国家薬品監督管理局(NMPA)により医療機器として認証されており、また欧州連合のCEマークを取得しているほか、米国FDAに対しても医療機器(Class II)としての登録がなされています。 - ⑤マウスピース型矯正装置(インビザライン/エンジェルアライナー)は完成物薬機法対象外の矯正歯科装置であり、承認薬品を対象とする医薬品副作用被害救済制度の対象外となる場合があります。

