ABOUT
過蓋咬合とは?

過蓋咬合(かがいこうごう)とは、カチッと奥歯で噛んだ時に下の前歯が上の前歯で隠れてしまう、つまり上下の前歯の噛み合わせが深い噛み合わせの問題です。
ディープバイトとも言われます。
CAUSE
過蓋咬合になる原因
過蓋咬合になる原因には、次のようなものが挙げられます。


RISK
過蓋咬合によるリスク
過蓋咬合による口の健康へのリスクには、次のようなものが挙げられます。


necessity
過蓋咬合の治療の必要性
過蓋咬合に対して適切な治療を受けない場合、これらのリスクが長期間にわたって悪化することがあります。
矯正治療は、過蓋咬合によるリスクを軽減し、健康で美しい笑顔を取り戻すことに役立ちます。
当院では、口の健康を維持するために、患者さまの個別の状態に合わせた矯正治療を提供し、過蓋咬合の問題を解決するお手伝いをしています。
treatment
過蓋咬合を治すには?
過蓋咬合が自然に治ることは残念ながら無いため、治すためには矯正治療に頼ることになります。
Orthodontics
過蓋咬合の矯正治療とは?
過蓋咬合の矯正治療は、患者さまの個別の状態に合わせて治療プランが設計され、使用する装置は症状によって異なりますが、通常、治療の過程で定期的に医院を訪れ、装置の調整が行われます。
過蓋咬合の治療は、上下の前歯を圧下(歯ぐきの中に引っ込めるように動かす)させたり、奥歯を挺出(伸ばすように動かす)させたりして、前歯の噛み合わせを浅くするように改善することです。
子供の場合にはアゴの成長方向が変化するよう促す装置を使ったりします。
大人の場合には上下の前歯を圧下させるために歯科矯正用アンカースクリューを使うこともあります。
詳細については当院でお気軽にご相談ください。
CASE
過蓋咬合の症例
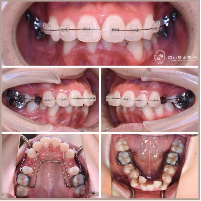
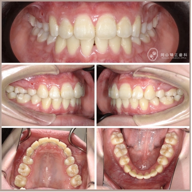
症例01
症例詳細
| 年齢 | 17歳 |
|---|---|
| 住所 | 岡山県総社市 |
| 主訴 | 出っ歯が気になる |
| 診断名 | 叢生と過蓋咬合を伴う上顎前突症例 |
| 治療装置 | マルチブラケット矯正装置(ワイヤー矯正) |
| 抜歯部位 | 上顎両側第1小臼歯、下顎両側第1小臼歯 |
| 治療期間 | 2年11ヶ月 |
| 費用 | 約85万円 |
| リスク | 痛み、歯肉退縮、歯根吸収など |
※矯正歯科治療は公的健康保険の適用外の自費診療となります
症例の特徴

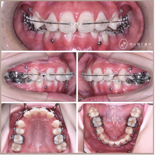
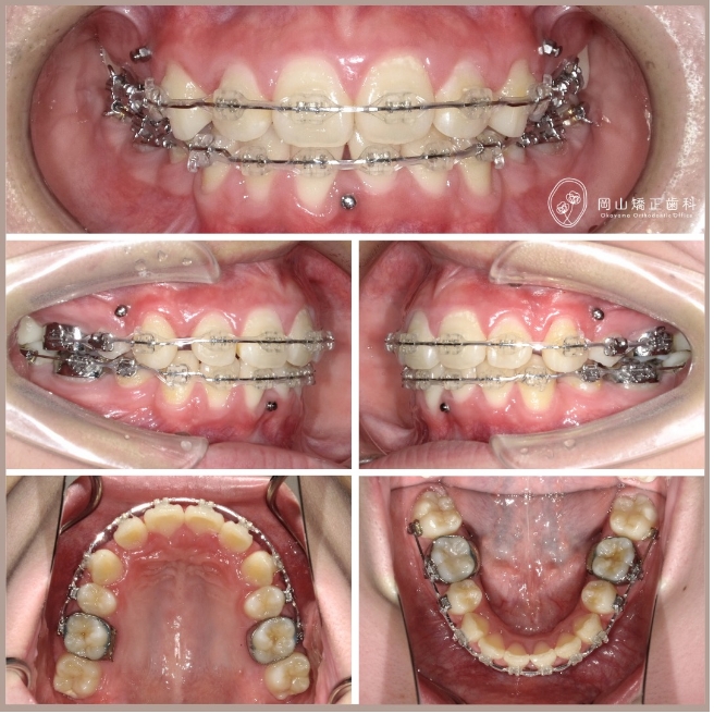
治療の過程





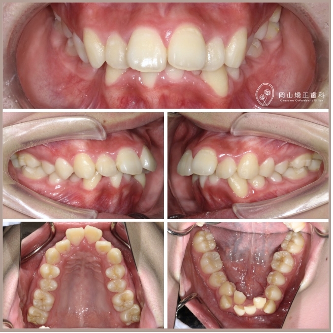
ビフォーアフター




PRICE
【過蓋咬合】を治す費用は?
保険適応?
保険適応?
過蓋咬合の治療費用は患者さまの個別の状態や治療方法によって異なり、当院では患者さま一人ひとりに合った治療プランを提供し、透明で公平な料金体系を採用しています。
一部の治療は保険でカバーされることがありますが、条件や範囲は異なり、矯正初診相談ではその詳細もお伝えいたします。予算に合わせた支払いプランや分割払いのオプションもご提案し、治療費用についてもしっかりとサポートいたします。
費用について

